
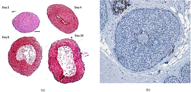
7 physiological characteristics that distinguish spheroids from 2D cell cultures
A spheroid is a three-dimensional (3D) cell culture model that mimics the in vivo environment more closely than traditional two-dimensional (2D) monolayer cultures. Physiologically, spheroids exhibit several distinct characteristics compared to 2D cell cultures. This…








