
PERFORMANCE
Matches standard matrices in expansion and maintenance

PURITY
Provides a defined, xeno-free microenvironment for reliable cell culture

PREDICTABILITY
Ensures consistent cell culture with minimal variability
Do you want to try a new unique
BIOINSTRUCT™ technology?

BIOINSTRUCT™ maintains characteristic iPSC morphology
Our passion is crafting mindful moments with locally sourced, organic, and sustainable products. We’re more than a store; we’re your path to a community-driven, eco-friendly lifestyle that embraces premium quality.
BIOINSTRUCT™ support robust proliferation of iPSCs
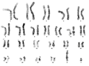
BIOINSTRUCT™ maintains the genetic integrity of iPSCs
iPSCs cultured on the BIOINSTRUCT™ platform maintain their genetic stability over multiple passages. Even after Passage 10 (P10), these cells continue to exhibit a normal Karyotype, demonstrating their robustness and suitability for extended use. Furthermore, they retain their unique cellular identity, as confirmed by STR assays.

BIOINSTRUCT™ keeps iPSCs pluripotent
PSC on BIOINSTRUCT™ remain pluripotent – iPSCs can differentiate into the three germ-layers: Endoderm, Ectoderm, Mesoderm (Scale bar: 250 µm)

Reviews
Elina,
Principal Staff Scientist
“In my daily workflow, Bioinstruct has significantly cut down the time needed for plating and maintenance, while consistently delivering robust iPSC attachment and growth over many passages. Its straightforward, user-friendly protocol has made a notable difference in streamlining experiments and ensuring reproducibility across the board.”
Rosela,
Biologist
“I had the chance to work with Bioinstruct, and I’m genuinely impressed. The product stands out for its intuitive design and user-friendly handling, making complex processes much easier to manage. As a student, I really appreciated how quickly I could get started and achieve great results.”
Do you want to try a new unique
BIOINSTRUCT™ technology?

